Hàm răng bị xô lệch là tình trạng thường gặp, ảnh hưởng lớn đến thẩm mỹ và khả năng nhai nuốt của nhiều người. Theo các bác sĩ nha khoa, mất răng chính là nguyên nhân phổ biến nhất dẫn đến hàm răng bị lệch lạc. Bài viết dưới đây Nha khoa Champion sẽ cung cấp những thông tin hữu ích để bạn hiểu rõ hơn về tình trạng này cũng như cách khắc phục hiệu quả.
Hàm răng bị xô lệch là gì?
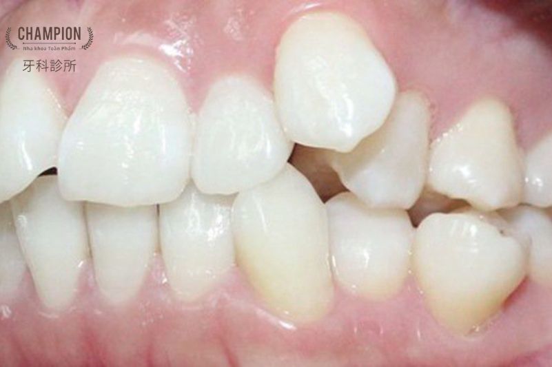
Hàm răng bị xô lệch đề cập đến tình trạng các răng mất đi vị trí cân đối, đều nhau mà bị lệch ra khỏi vị trí bình thường. Cụ thể, răng có thể mọc lệch sang trái hoặc phải, hoặc xô về phía trước gây mất thẩm mỹ và ảnh hưởng đến khả năng nhai nuốt.
Nguyên nhân phổ biến nhất dẫn đến hàm răng bị lệch lạc là do mất răng. Khi mất một hoặc một số răng tại vị trí nào đó, các răng còn lại sẽ bị mất đi sự cố định và có xu hướng dịch chuyển về phía khoảng trống để lấp chỗ trống đó. Điều này dẫn đến hàm răng bị mất cân đối, lệch lạc.

Nguyên nhân hàm răng bị xô lệch
Như đã đề cập ở trên, nguyên nhân phổ biến nhất dẫn đến hàm răng bị lệch là do mất răng. Cụ thể:
-
Mất răng do sâu răng, viêm nha chu, tai nạn... khiến các răng xung quanh bị mất điểm tựa, dễ bị lệch lạc.
-
Mất nhiều răng cùng một lúc ở một vùng sẽ khiến các răng còn lại bị mất thăng bằng, nghiêng về hướng vùng mất răng.
-
Mất răng khôn mọc lệch cũng có thể đẩy các răng phía trước bị xô lệch.
- Mất răng trong thời gian dài mà không được thay thế kịp thời cũng sẽ khiến các răng bên cạnh dần trở nên lệch lạc.
Ngoài ra, một số nguyên nhân khác ít gặp hơn có thể kể đến như:
-
Răng bị sâu nặng làm mòn chân răng khiến răng mọc lệch
-
Hàm, xương hàm bị gãy hoặc tổn thương
- Một số bất thường bẩm sinh về răng như răng mọc thừa, thiếu...
Hậu quả khi hàm răng bị xô lệch
Khi hàm răng bị lệch lạc sẽ gây ra nhiều hậu quả nghiêm trọng về chức năng và thẩm mỹ khuôn mặt, cụ thể:
-
Ảnh hưởng đến khả năng nhai, nói, nuốt kém hiệu quả do răng mất vị trí cắn hợp lý. Thức ăn khó nghiền nát hoàn toàn.
-
Gây mất thẩm mỹ khuôn mặt, răng không đều, hàm mất cân đối.
-
Khiến môi, má, cằm mất cân xứng, kém thẩm mỹ.
-
Làm tăng áp lực lên răng và nướu, gây đau răng, nhức mặt hàm.
-
Dễ bị lở loét ở má, phần cứng của lưỡi do cọ xát vào răng.
- Làm tăng nguy cơ mắc một số bệnh về tiêu hóa, tai mũi họng do nhai nuốt kém.
Do đó, khi phát hiện hàm răng có dấu hiệu lệch lạc cần điều trị sớm để tránh những hậu quả đáng tiếc.

>> Xem thêm: Nguyên nhân, tác hại và cách khắc phục khi mất răng hàm
Phương pháp khắc phục hàm bị xô lệch
Hàm răng bị lệch là tình trạng phổ biến gây ảnh hưởng đến thẩm mỹ và chức năng của răng. Để khắc phục tình trạng này, Nha khoa Champion gợi ý một số phương pháp sau:
Bổ sung răng giả
Răng giả sẽ thay thế vị trí răng bị thiếu hụt, giúp các răng còn lại không bị lung lay và mất điểm tựa. Điều này ngăn ngừa tình trạng răng bị lệch lạc và giữ cho cấu trúc hàm ổn định. Các loại răng giả phổ biến bao gồm răng giả tháo lắp, răng giả cố định, răng implant. Tùy vào tình trạng răng miệng, nhu cầu sử dụng, bác sĩ sẽ tư vấn loại răng giả phù hợp nhất.
Đeo niềng răng
Niềng răng sẽ tác động trực tiếp lên răng, dùng lực nhẹ để dần dần đưa răng về đúng vị trí ban đầu. Có nhiều loại niềng khác nhau như niềng mắc cài kim loại, niềng mắc cài sứ, niềng mắc cài tự phân hủy... tùy theo mức độ lệch lạc mà bác sĩ sẽ quyết định loại niềng phù hợp. Đây là giải pháp hiệu quả để điều chỉnh lại hàm răng bị lệch.
Cấy ghép implant
Thay thế răng bị mất bằng implant sẽ giúp răng được cố định vững chắc, tránh bị lung lay dẫn đến lệch lạc. Implant còn phục hồi chức năng nhai và thẩm mỹ hiệu quả. Các loại implant thông dụng bao gồm implant kim loại, implant gốm, implant zirconia... tùy vào điều kiện và nhu cầu mà bác sĩ sẽ chỉ định loại phù hợp.
Cắt bỏ răng/xương thừa
Nếu hàm bị lệch do xương hoặc răng phát triển thừa, bác sĩ có thể cắt bỏ, mài bớt phần thừa để điều chỉnh lại cấu trúc hàm cho chuẩn. Đây là phương pháp nhanh chóng loại bỏ nguyên nhân gây mất thăng bằng cấu trúc hàm.
Điều trị chỉnh nha toàn diện
Trong trường hợp hàm lệch nặng, kéo dài, phương pháp điều trị chỉnh nha toàn diện sẽ mang lại hiệu quả cao nhất. Các bác sĩ sẽ có phương án điều trị riêng cho từng trường hợp cụ thể, kết hợp nhiều biện pháp như niềng răng, mặt nạ chỉnh nha, phẫu thuật... để điều chỉnh dần dần vị trí các răng.

Điều trị hàm răng bị xô lệch an toàn và hiệu quả tại Nha khoa Champion
Bạn đang cảm thấy tự ti vì hàm răng bị lệch khiến nụ cười trở nên xấu xí? Bạn lo lắng rằng tình trạng răng lệch sẽ ảnh hưởng đến khả năng nhai nuốt và sức khỏe răng miệng? Vấn đề này đang khiến bạn mất tự tin trong giao tiếp và cuộc sống?
Hãy đến với Nha khoa Champion là cơ sở nha khoa uy tín hàng đầu tại Việt Nam về điều trị các vấn đề về răng miệng, trong đó có tình trạng hàm răng bị lệch.
Với đội ngũ bác sĩ giỏi chuyên môn, giàu kinh nghiệm và trang thiết bị hiện đại, Nha khoa Champion cam kết điều trị hàm răng bị lệch một cách an toàn và hiệu quả. Các phương pháp điều trị được áp dụng tại đây như niềng răng, cấy ghép implant, phẫu thuật chỉnh hàm mặt,... đều tuân thủ quy trình chuẩn, hạn chế tối đa rủi ro.
Với kinh nghiệm nhiều năm trong lĩnh vực, Nha khoa Champion đã giúp hàng ngàn người khắc phục triệt để tình trạng hàm răng bị lệch, lấy lại nụ cười tự tin. Hãy đến với Nha khoa Champion để được thăm khám và tư vấn điều trị phù hợp nhất. Chúng tôi cam kết mang đến dịch vụ tốt nhất với mức giá hợp lý để nụ cười của bạn luôn tỏa sáng.
Nếu bạn bị mất niềm tin với hàm răng bị xô lệch. Đừng lo lắng, hãy đến Nha khoa Champion để được khám và tư vấn cách điều trị phù hợp nhất. Với đội ngũ bác sĩ giỏi và kinh nghiệm, chúng tôi cam kết sẽ giúp bạn lấy lại nụ cười tự tin như ý muốn. Liên hệ ngay để được hỗ trợ!
Nha khoa Champion
Hotline: 02854112297
Địa chỉ: 172, Đường Nguyễn Lương Bằng, Phường Tân Phú, Quận 7, TP.Hồ Chí Minh
Email: championvn7@gmail.com
Fanpage: Champion Dental Clinic 牙科診所
Phòng khám nha khoa Champion

