Chẩn đoán nứt răng là một vấn đề sức khỏe răng miệng quan trọng, đòi hỏi sự tập trung và chuyên nghiệp của các nha sĩ. Ngày nay với sự phát triển của y học, các phương pháp chẩn đoán nứt răng hiện đại và hiệu quả có thể giúp bảo vệ nụ cười rạng rỡ của bạn. Cùng Nha Khoa Champion điểm qua những "bí quyết vàng" trong chẩn đoán bệnh lý nứt răng, mang đến giải pháp toàn diện cho sức khỏe răng miệng của bạn.
Các phương pháp chẩn đoán nứt răng hiện đại và hiệu quả
Khi nghi ngờ tình trạng nứt răng, việc sớm tiến hành chẩn đoán chính là bước then chốt để đưa ra phương án điều trị phù hợp, bảo tồn trọn vẹn sức khỏe răng miệng. Với sự phát triển không ngừng của y học, các nha sĩ chuyên nghiệp ngày nay đã có thể kết hợp nhiều phương pháp chẩn đoán hiện đại, giúp xác định tình trạng răng một cách toàn diện và chính xác nhất.
Khám lâm sàng
Bước khám lâm sàng luôn là khởi đầu cho quá trình chẩn đoán nứt răng. Tại đây, nha sĩ sẽ tiến hành kiểm tra trực tiếp trên răng, sử dụng đèn chiếu sáng, gõ nhẹ lên bề mặt để phát hiện những dấu hiệu đặc trưng của tình trạng nứt răng. Đây có thể là các biểu hiện như răng bị nhạy cảm, sưng, đau hoặc thậm chí là những vết nứt có thể quan sát bằng mắt thường.
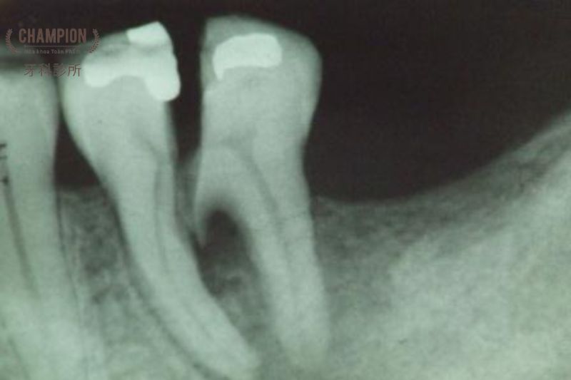
Chụp X-quang
Bên cạnh khám lâm sàng, chụp X-quang là phương pháp vô cùng hữu ích để phát hiện những vết nứt không thể nhìn thấy bằng mắt thường. Dựa vào hình ảnh X-quang, các bác sĩ nha khoa có thể xác định chính xác vị trí, mức độ và hướng lan của các vết nứt trong răng, từ đó lên kế hoạch điều trị phù hợp.
Chụp CT Cone Beam
Với độ phân giải cao vượt trội, kỹ thuật chụp CT Cone Beam cho phép nha sĩ quan sát chi tiết cấu trúc bên trong răng, tủy, nướu và xương hàm. Kết quả chụp ảnh sắc nét này giúp bác sĩ chẩn đoán nứt răng một cách chính xác nhất, từ đó đề xuất phương án điều trị hiệu quả tối ưu.
Kết hợp sử dụng các phương pháp chẩn đoán hiện đại trên, các nha sĩ có thể nhanh chóng xác định tình trạng răng miệng của bệnh nhân một cách toàn diện, chính xác. Điều này góp phần quan trọng trong việc lên kế hoạch điều trị phù hợp, bảo tồn tối đa sức khỏe và vẻ đẹp tự nhiên của nụ cười.

Vai trò then chốt của việc chẩn đoán nứt răng sớm
Chẩn đoán sớm tình trạng nứt răng không chỉ là bước quan trọng đầu tiên, mà còn mang lại nhiều lợi ích thiết thực và lâu dài cho sức khỏe răng miệng của bạn. Chính vì vậy, các bác sĩ nha khoa luôn nhấn mạnh tầm quan trọng của việc này, nhằm giúp bệnh nhân chủ động bảo vệ sức khỏe răng miệng một cách hiệu quả.
Bảo tồn tối đa sức khỏe và vẻ đẹp tự nhiên của răng
Khi nứt răng được phát hiện sớm, các bác sĩ nha khoa có thể áp dụng các biện pháp điều trị kịp thời và hiệu quả, như trám răng, dán sứ veneer hoặc phục hình bằng composite.
Điều này không chỉ giúp ngăn ngừa những tổn thương nghiêm trọng hơn, mà còn bảo tồn tối đa vẻ đẹp tự nhiên và sức khỏe của răng. Từ đó, bạn có thể tự tin khoe trọn vẹn nụ cười rạng rỡ.
Phòng ngừa hiệu quả các bệnh lý răng miệng nghiêm trọng
Nứt răng, nếu không được chẩn đoán và điều trị kịp thời, có thể dẫn đến nhiều biến chứng nguy hiểm như sâu răng, viêm tủy hay viêm nướu. Việc phát hiện sớm tình trạng này sẽ giúp ngăn chặn triệt để những bệnh lý đáng sợ này, bảo vệ sức khỏe răng miệng một cách toàn diện. Bạn sẽ không còn phải lo lắng về các vấn đề liên quan đến răng miệng.
Cải thiện chất lượng cuộc sống một cách đáng kể
Khi răng miệng khỏe mạnh, bạn sẽ có thể thoải mái thưởng thức các món ăn, giao tiếp tự tin và cảm thấy thoải mái hơn trong mọi hoạt động hàng ngày. Điều này không chỉ nâng cao chất lượng cuộc sống, mà còn góp phần cải thiện sức khỏe tổng thể một cách đáng kể. Bạn sẽ cảm thấy cuộc sống trở nên đầy đủ và đáng sống hơn bao giờ hết.
Việc chẩn đoán sớm tình trạng nứt răng đóng vai trò then chốt trong việc bảo vệ sức khỏe và vẻ đẹp nụ cười của bạn. Nhờ đó, bạn có thể tự tin thưởng thức cuộc sống một cách trọn vẹn nhất, không còn bất kỳ lo lắng nào về răng miệng. Đây chính là lý do vì sao các bác sĩ nha khoa luôn khuyến khích bệnh nhân chủ động thực hiện chẩn đoán định kỳ.

>> Xem thêm: Cập nhật địa chỉ nha khoa uy tín điều trị mẻ răng tại TP.HCM
Lưu ý quan trọng khi thực hiện chẩn đoán nứt răng
Việc chẩn đoán nứt răng chính xác và an toàn đòi hỏi sự phối hợp chặt chẽ giữa bệnh nhân và các bác sĩ nha khoa chuyên nghiệp. Để đạt được kết quả tối ưu, bệnh nhân cần lưu ý một số điểm sau:
Lựa chọn cơ sở nha khoa uy tín, đội ngũ nha sĩ chuyên môn cao
Chẩn đoán nứt răng cần sự kết hợp của nhiều kỹ thuật hiện đại, do đó việc lựa chọn cơ sở y tế uy tín, có đội ngũ bác sĩ giàu kinh nghiệm và sử dụng công nghệ tiên tiến là vô cùng quan trọng. Các nha sĩ giỏi chuyên môn sẽ giúp bạn có kết quả chẩn đoán chính xác nhất.
Cung cấp đầy đủ thông tin y tế liên quan
Để các bác sĩ có thể đưa ra chẩn đoán và điều trị phù hợp, bệnh nhân cần cung cấp đầy đủ và chính xác những thông tin về tình trạng sức khỏe răng miệng hiện tại, tiền sử bệnh, các vấn đề liên quan khác. Điều này sẽ giúp nha sĩ có cái nhìn toàn diện và lập kế hoạch chăm sóc hiệu quả.
Tuân thủ các chỉ định về xét nghiệm của nha sĩ
Chẩn đoán nứt răng thường yêu cầu sử dụng nhiều phương pháp khác nhau như chụp X-quang, chụp CT Cone Beam... Việc thực hiện các xét nghiệm theo chỉ định của nha sĩ là hết sức quan trọng, bởi nó sẽ giúp họ có thể xác định chính xác tình trạng răng và đưa ra phương án điều trị thích hợp nhất.
Chú ý tuân thủ những lưu ý trên sẽ giúp quá trình chẩn đoán nứt răng của bạn diễn ra an toàn, chính xác và hiệu quả. Từ đó, các bác sĩ nha khoa có thể đề xuất phương án điều trị phù hợp, bảo vệ sức khỏe và vẻ đẹp nụ cười của bạn một cách toàn diện.

Nha khoa Champion địa chỉ chẩn đoán nứt răng an toàn - chính xác
Khi cảm thấy có vấn đề về răng, điều quan trọng nhất là tìm được cơ sở y tế uy tín, để có thể chẩn đoán và điều trị một cách hiệu quả. Và trong lĩnh vực nha khoa, Nha khoa Champion luôn là địa chỉ được đông đảo bệnh nhân tin tưởng lựa chọn.
Sở hữu đội ngũ bác sĩ giàu kinh nghiệm cùng hệ thống trang thiết bị công nghệ hiện đại, Nha khoa Champion luôn nỗ lực mang đến các dịch vụ chẩn đoán và điều trị nứt răng với chất lượng tối ưu. Tại đây, quy trình chẩn đoán được các chuyên gia thực hiện vô cùng kỹ lưỡng và chuyên nghiệp.
Bắt đầu bằng khám lâm sàng kỹ càng để phát hiện các dấu hiệu nứt răng, các bác sĩ sẽ tiến hành chụp X-quang và chụp CT Cone Beam hiện đại. Với độ phân giải cao, các kỹ thuật này cho phép quan sát chi tiết cấu trúc răng, tủy, nướu và xương hàm, từ đó đưa ra chẩn đoán chính xác nhất về tình trạng nứt răng của bệnh nhân.
Dựa trên kết quả chẩn đoán, các bác sĩ Nha khoa Champion sẽ đề xuất các phương án điều trị phù hợp nhất, nhằm bảo tồn tối đa sức khỏe và vẻ đẹp tự nhiên của răng. Đây chính là giải pháp toàn diện để bạn có thể tự tin khoe trọn vẹn nụ cười rạng rỡ.
Với uy tín và chất lượng đã được kiểm chứng qua nhiều năm hoạt động, Nha khoa Champion xứng đáng là địa chỉ tin cậy dành cho tất cả những ai đang gặp vấn đề về nứt răng. Hãy đến với chúng tôi để được chăm sóc răng miệng một cách an toàn và hiệu quả nhất nhé!
Tổng kết
Chẩn đoán nứt răng chính xác là bước quan trọng đầu tiên để bảo vệ sức khỏe răng miệng của bạn. Với sự kết hợp các phương pháp khám lâm sàng, chụp X-quang và chụp CT Cone Beam, nha sĩ chuyên nghiệp sẽ giúp bạn phát hiện và điều trị nứt răng kịp thời, ngăn ngừa các biến chứng nghiêm trọng. Hãy luôn lựa chọn những cơ sở nha khoa uy tín như Nha khoa Champion để được chăm sóc răng miệng một cách an toàn và hiệu quả nhất.
Nha khoa Champion
Hotline: 02854112297
Địa chỉ: 172, Đường Nguyễn Lương Bằng, Phường Tân Phú, Quận 7, TP.Hồ Chí Minh
Email: championvn7@gmail.com
Fanpage: Champion Dental Clinic 牙科診所
Phòng khám nha khoa Champion

