Bạn có thắc mắc tại sao nướu răng bỗng dưng đỏ chót, chảy máu khi đánh răng? Đó có thể là dấu hiệu của viêm nha chu, một "vị khách không mời" nguy hiểm cho sức khỏe răng miệng. Vậy viêm nha chu là gì, có đáng lo ngại và làm sao để bảo vệ mình trước "kẻ thù" này? Trong bài viết này, cùng Nha Khoa Champion tìm hiểu về khái niệm viêm nha chu, nguyên nhân, triệu chứng và cách phòng ngừa hiệu quả.
Viêm nha chu là gì?
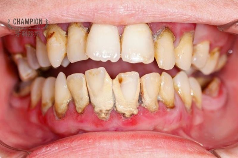
Viêm nha chu (hay còn gọi là bệnh nha chu) là tình trạng viêm nhiễm các mô nâng đỡ răng, bao gồm nướu, dây chằng nha chu và xương ổ răng. Nguyên nhân chính là do mảng bám vi khuẩn tích tụ lâu ngày xung quanh răng không được làm sạch, tạo thành cao răng cứng đầu. Các vi khuẩn này tấn công nướu gây viêm, chảy máu, nếu không điều trị kịp thời có thể phá hủy xương, khiến răng lung lay và cuối cùng là rụng.

Dấu hiệu nhận biết viêm nha chu
Dưới đây là một số dấu hiệu nhận biết viêm nha chu:
- Nướu răng đỏ, sưng tấy, dễ chảy máu khi đánh răng hoặc ăn uống. Đây là dấu hiệu phổ biến nhất của viêm nha chu.
- Hơi thở có mùi hôi khó chịu. Vi khuẩn trong mảng bám răng là nguyên nhân chính gây ra mùi hôi miệng.
- Răng lung lay, cảm giác khó chịu khi nhai. Viêm nha chu có thể làm suy yếu các mô nâng đỡ răng, khiến răng lung lay và cuối cùng là rụng.
- Tụt nướu khiến chân răng lộ ra, răng trông dài hơn. Tụt nướu là một dấu hiệu nghiêm trọng của viêm nha chu, có thể dẫn đến mất răng.
Ngoài ra, viêm nha chu còn có thể gây ra một số dấu hiệu khác, bao gồm:
- Nướu răng dễ bị chảy máu khi chạm vào.
- Nướu răng có màu đỏ sẫm hoặc tím sẫm.
- Nướu răng có cảm giác mềm khi chạm vào.
- Có túi nha chu ở giữa răng và nướu.

Nguyên nhân chủ yếu gây nên tình trạng viêm nha chu
Bệnh nha chu là bệnh lý răng miệng phổ biến, có thể gây ra nhiều biến chứng nguy hiểm nếu không được điều trị kịp thời. Nguyên nhân chính gây ra bệnh nha chu là do vi khuẩn trong mảng bám răng.
Mảng bám bắt đầu như một màng dính, thường được hình thành từ sự tương tác giữa tinh bột và đường trong thức ăn với vi khuẩn có mặt trong miệng. Đây là bước đầu tiên của sự hình thành vi khuẩn trên răng.
Nếu không được loại bỏ, mảng bám có thể trở nên cứng lại dưới đường viền nướu, tạo ra một môi trường lý tưởng cho vi khuẩn phát triển và hình thành cao răng. Cả hai vấn đề này có thể dẫn đến sự kích thích nướu, gây viêm nướu.
Viêm nướu có thể tiến triển thành viêm nha chu, tạo ra các túi sâu giữa nướu và răng. Những túi sâu này có thể chứa mảng bám, cao răng và vi khuẩn. Nếu không được điều trị, nhiễm trùng có thể gây mất mô và xương, và kết quả có thể là mất răng.

Viêm nha chu có nguy hiểm không?
Viêm nha chu nếu không được điều trị kịp thời có thể dẫn đến nhiều biến chứng nguy hiểm như:
- Mất răng: Đây là hậu quả nghiêm trọng nhất của viêm nha chu. Khi các mô nâng đỡ răng bị phá hủy, răng sẽ lung lay và cuối cùng là rụng.
- Các bệnh toàn thân: Viêm nha chu có thể làm tăng nguy cơ mắc các bệnh toàn thân như tim mạch, tiểu đường, viêm phổi và thậm chí là ung thư.
- Ảnh hưởng thẩm mỹ và giao tiếp: Hôi miệng, răng xỉn màu do tụt nướu khiến người mắc bệnh mất tự tin khi giao tiếp.
>> Xem thêm: Bị sâu răng nên làm gì, tổng hợp 5 phương pháp chữa trị hiệu quả
Các bước chẩn đoán tình trạng viêm nha chu
Khám lâm sàng
Khám lâm sàng tại phòng khám nha khoa là bước đầu tiên quan trọng trong việc chẩn đoán bệnh nha chu. Trong quá trình kiểm tra, nha sĩ hoặc bác sĩ răng hàm mặt sẽ sử dụng đầu dò nha chu để đánh giá các vị trí khác nhau ở cả hai hàm. Đây là cách chính xác để xác định sự hiện diện của viêm nướu và viêm nha chu.
Chụp X-Quang
Sau khi thực hiện khám lâm sàng, việc chụp X-quang là bước tiếp theo để đánh giá mức độ bao phủ xương quanh răng. Kết quả chụp X-quang cung cấp thông tin chi tiết về mức độ nghiêm trọng của tình trạng mất xương, giúp nha sĩ lập kế hoạch điều trị phù hợp.
Xét nghiệm vi sinh
Xét nghiệm vi sinh là một phương pháp quan trọng để phân loại các vi khuẩn có thể gây hại trong mảng bám răng. Các loại vi khuẩn như Prevotella trung gian, Porphyromonas nướu, Aggregatibacter xạ khuẩn, Treponema denticola có thể được xác định thông qua xét nghiệm này. Kết quả giúp xác định phương pháp điều trị phù hợp và tránh những liệu pháp không cần thiết.

Các biện pháp ngăn ngừa viêm nha chu hiệu quả
Một số biện pháp giúp bạn ngăn ngừa viêm nha chu bạn có thể tham khảo để thực hiện ở nhà như sau:
- Vệ sinh răng miệng đúng cách: Đây là biện pháp quan trọng nhất giúp ngăn ngừa viêm nha chu. Bạn nên chải răng ít nhất hai lần mỗi ngày, mỗi lần 2 phút, sử dụng bàn chải mềm và kem đánh răng có chứa fluor. Ngoài ra, bạn cũng nên sử dụng chỉ nha khoa để làm sạch kẽ răng và súc miệng nước súc miệng diệt khuẩn.
- Đi khám răng định kỳ: Bạn nên đi khám răng định kỳ 6 tháng một lần để bác sĩ nha khoa kiểm tra sức khỏe răng miệng và loại bỏ mảng bám, cao răng.
- Chế độ ăn uống lành mạnh: Bạn nên hạn chế ăn đồ ăn ngọt, béo, nhiều đường và tăng cường ăn rau xanh, trái cây.
- Hạn chế hút thuốc lá: Hút thuốc lá làm tăng nguy cơ mắc viêm nha chu.
- Kiểm soát các bệnh toàn thân: Nếu bạn mắc các bệnh toàn thân như tiểu đường, suy giảm miễn dịch,... cần kiểm soát tốt bệnh để giảm nguy cơ mắc viêm nha chu.
Lời kết
Nụ cười rạng rỡ bắt đầu từ một hàm răng khỏe mạnh! Hãy quan tâm đến sức khỏe răng miệng, chủ động phòng ngừa viêm nha chu để bảo vệ nụ cười và sức khỏe tổng thể của bạn. Hy vọng bài viết này đã giúp bạn hiểu rõ hơn về viêm nha chu là gì. Hãy chia sẻ bài viết này để nâng cao nhận thức về sức khỏe răng miệng cho mọi người!
Nha khoa Champion
Hotline: 02854112297
Địa chỉ: 172, Đường Nguyễn Lương Bằng, Phường Tân Phú, Quận 7, TP.Hồ Chí Minh
Email: championvn7@gmail.com
Fanpage: Champion Dental Clinic 牙科診所
Phòng khám nha khoa Champion

